Understanding
Thumb arthritis:
Information for patients
What is thumb arthritis?
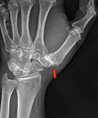
Thumb arthritis refers to degeneration of the carpometacarpal (CMC) joint (sometimes called the basal joint) at the base of the thumb.1 The CMC joint is formed where the thumb metacarpal bone meets the small wrist bone called the trapezium.1
What causes thumb arthritis?
The carpometacarpal (CMC) joint allows for movements such as pinching, twisting, gripping but that also means it gets more “wear & tear”.2 Over time, the cartilage that cushions the joint becomes worn, the joint space may narrow, the bone surfaces may rub, and bony changes such as spurs may develop.2 Other risk factors for thumb arthritis include older age, being female (especially post-menopausal), previous surgery or injury and genetics.1–3
Degeneration of the thumb joint may cause pain, reduced grip strength, joint stiffness and difficulty performing everyday tasks such as opening a jar or turning a car key. 1,2

How is thumb arthritis diagnosed & treated?
Diagnosis
History & physical exam: Your doctor may ask questions about the history of your thumb pain and its impact on your life.4 A physical exam of the thumb may also be done to evaluate the thumb with various clinical tests.4
Imaging: Your surgeon may request X-rays of the hand and thumb base.8
Treatment
Non-surgical (conservative) treatments
Your doctor may recommend conservative (nonsurgical) treatments before considering surgery.5 This may include:
- Activity modification to reduce pressure on the thumb joint3
- Splinting to support the thumb during painful activities3
- Exercises to strengthen muscles that stabilise the thumb base3
- Medication for pain relief and/or anti-inflammatory medications3
Surgical options
Your doctor may recommend one of multiple surgical options when non-surgical measures do not bring relief or restore mobility.7 If your surgeon recommends GriplastyTM as a surgical solution, the following information may help you to understand the procedure:
- GriplastyTM is an implant made of suture material to support the base of the thumb after trapeziectomy.
- A single incision is made near the base of the thumb to remove the trapezium and implant the GriplastyTM.
Listen to the stories from GriplastyTM patients getting their grip back!
Get an orthopaedics specialist opinion
All surgery carries risk. See your surgeon to discuss your potential benefits and risks. Not all patients will have the same post-operative recovery and activity level. Individual results vary.
References:
1. NHS South Tees Hospitals. Osteoarthritis of the carpometacarpal thumb joint. Accessed November 12, 2025. https://www.southtees.nhs.uk/resources/osteoarthritis-of-the-carpometacarpal-thumb-joint/
2. Higginbotham C, Boyd A, Busch M, Heaton D, Trumble T. Optimal management of thumb basal joint arthritis: challenges and solutions. Orthop Res Rev. 2017;Volume 9:93-99. doi:10.2147/ORR.S138809
3. NHS Royal Berkshire. Osteoarthritis of the carpo-metacarpal thumb joint: conservative treatment. Published online January 2024. Accessed November 13, 2025. https://www.royalberkshire.nhs.uk/media/be3n1tj5/osteoarthritis-of-the-carpo-metacarpal-thumb-joint_jan24.pdf
4. Normand M, Tang TS, Brismée JM, Sobczak S. Clinical evaluation of thumb base osteoarthritis: A scoping review. Hand Ther. 2021;26(2):63-78. doi:10.1177/17589983211002560
5. Poole Hospital NHS. Osteoarthritis of the thumb carpometacarpal joint. Published online December 2010.
6. Bhat S, Weeda L, Seth I, Rozen WM. Comparison of Surgical Techniques and Joint Injections for Base of Thumb Osteoarthritis: A Systematic Review. J Hand Surg Glob Online. 2025;7(2):212-218. doi:10.1016/j.jhsg.2024.12.005
7. Barrera J, Yao J. Arthroscopic Management of Thumb Carpometacarpal Joint Arthritis and Pathology. Hand Clin. 2022;38(2):183-197. doi:10.1016/j.hcl.2021.11.002
8. Moses MJ, Lorentz NA, Ayalon OB, Catalano LW. Carpometacarpal Arthroplasty What’s the Rule of Thumb? Bull Hosp Jt Dis 2013. 2023;81(1):84-90.
Contraindications, potential complications, warnings and precautions:
In any surgical procedure, the potential for complications and adverse reactions exists. Contraindications include cases of inflammation, cases of active or suspected sepsis / infection and osteomyelitis and patients with certain metabolic diseases.
The risks and complications with these implants can include loosening, deformation or failure of the implant, acute post-operative wound infections and late infections with possible sepsis, thrombosis and embolism, wound hematoma and delayed wound healing, temporary and protracted functional neurological perturbation and tissue reactions as the result of allergy or foreign body reaction to dislodged particles.
All complications listed here are not typical of GriplastyTM but are in principle observed with any implant. Your surgeon will explain potential risks and complications associated with surgery, and give you instructions on the use and limitations of GriplastyTM.
Warnings and precautions related to the use of GriplastyTM include; Re-operation to remove or replace implants may be required at any time due to medical reasons or device failure. If appropriate action is not taken, complications may occur; Use of an undersized anchor in areas of high functional stresses may lead to implant fracture and failure; Postoperatively, until healing is complete, the fixation provided by this device should be protected. The postoperative regimen prescribed by the surgeon should be strictly followed to avoid adverse stresses being applied to the implant; Preoperative and operating procedures, including knowledge of surgical techniques and proper selection and placement of the implant, are important considerations in the successful utilization of this device;
These devices have not been evaluated for safety and compatibility in the MR environment.
Product availability may not extend to all markets, as it is contingent upon regulatory and medical practices within each region. For inquiries concerning the accessibility of Field Orthopaedics products in your location, please reach out to your Field Orthopaedics representative or distributor.

